牙缝里那块肉悄悄没了,为啥再也长不回来?可能和你每天做的事有关!
人体有时很神奇,拔牙后看着挺吓人的一个“大窟窿”,几周内便能奇迹般“长平”。
而悄悄退去(萎缩)的牙龈,一旦离开就不再回头,留下日渐变宽的牙缝,日益外露的牙根。
牙缝里那块肉悄悄没了,为啥再也长不回来?可能和你每天做的事有关
牙缝里那块肉悄悄没了,为啥再也长不回来?可能和你每天做的事有关
牙缝里那块肉悄悄没了,为啥再也长不回来?可能和你每天做的事有关
牙缝里那块肉悄悄没了,为啥再也长不回来?可能和你每天做的事有关
同样是嘴里的“肉”,为啥身体能让拔牙后的牙洞长平,却对萎缩的牙龈“见死不救”?这个问题得从牙龈的组织学本质说起。
为何拔牙后的“窟窿”能愈合,
牙龈萎缩却难复原?
俗话说“骨肉相连”,牙龈就是附在牙槽骨上的那块“肉”(见下图)。
牙缝里那块肉悄悄没了,为啥再也长不回来?可能和你每天做的事有关
如同依附于山体表面的植被,牙龈总是依附于下方的牙槽骨而生长。
其实,“骨”才是决定牙龈高低的关键。我们所看到的牙龈,其实是下方牙槽骨状态的“外在表现”。
拔牙后,“窟窿”之所以能够长平坦,是因为“洞”里有大量健康的牙槽骨(下图米色部分)在积极修复和再生。
牙缝里那块肉悄悄没了,为啥再也长不回来?可能和你每天做的事有关
而牙龈萎缩的本质,则是牙周炎症导致的牙槽骨丧失,继而导致牙龈附着的位置随之下降。
牙缝里那块肉悄悄没了,为啥再也长不回来?可能和你每天做的事有关
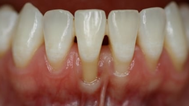
健康的牙龈长啥样?
健康的牙龈是口腔健康的基础,通常表现为粉红色、质地坚韧、紧贴牙齿,无红肿、出血或疼痛。
牙缝里那块肉悄悄没了,为啥再也长不回来?可能和你每天做的事有关
健康牙龈有几个特征,大家可以拿起镜子自测一下:
· 颜色:呈均匀的粉红色,边缘菲薄,紧贴牙面。
· 点彩:附着龈表面有橘皮样点状凹陷,称为“点彩”,在牙龈表面干燥时较为明显。点彩是功能强化或功能适应性改变的表现,是健康牙龈的特征。牙龈有炎症时点彩减少或消失,当牙龈恢复健康时,点彩又重新出现。
· 质地:紧实有弹性,无红肿、疼痛,触碰不易出血;
拔牙后的“窟窿”何以愈合?
拔牙后虽然暂时有个“洞”,但只要“洞”内的组织都是健康的,这个“洞”就会逐渐愈合,就像皮肤上的伤口会愈合那样。
让“洞口”愈合的主要功劳是——“洞”里的血凝块。
牙缝里那块肉悄悄没了,为啥再也长不回来?可能和你每天做的事有关
通常来说,拔牙后会经历这样的变化。
1、血凝块封闭伤口
拔牙后 15~30分钟,出血停止,形成血凝块封闭伤口。可别小看了这个血凝块,它具有保护创口、防止感染、促进伤口愈合的功能。
如果血凝块形成不好或因为用力漱口等原因造成血凝块脱落,伤口愈合会变慢,出现牙槽感染、疼痛等并发症的可能性也大大增加。
拔牙后约 24 小时,血凝块开始变得更加坚韧结实。不少朋友到了这个阶段,都会为“牙洞”的恢复速度感到惊喜。
2、牙龈逐渐盖住“洞口”
1 周左右,上方牙龈向洞中心生长,逐渐盖住洞口。这时,血凝块被肉芽组织替代,牙龈基本就不怎么出血了。肉芽组织充填洞口,可以为伤口的进一步愈合提供支持。
3、骨组织参与修复
1 个月左右,新骨开始充满拔牙创,“硬的组织”逐渐取代“软的组织”。
3 个月左右骨组织完全形成,这时洞的边缘还有些不平整。
3~6 个月左右,牙洞基本就神奇的长平了。
注:如伤口愈合过程中发生感染,或受到全身疾病(如高血压、糖尿病、血友病、肝硬化)或药物(如某些治疗骨质疏松的药物)的影响,伤口愈合过程就会受到影响甚至不能愈合,所以拔牙之前需要评估身体情况。
牙龈萎缩是怎么回事?为何长不回去?
既然连牙齿拔掉了,牙龈都能长平,那么为啥牙齿健在,牙龈却萎缩了呢?
讲牙龈萎缩之前,先跟大家科普一个叫做“生物学宽度”的神奇现象。
在牙龈和牙齿结合的最上缘,始终和牙槽骨的顶端保持 2 毫米的“安全距离”,叫做生物学宽度。
牙缝里那块肉悄悄没了,为啥再也长不回来?可能和你每天做的事有关
如果牙槽骨被破坏了,高度下降,牙龈的高度也会随之下降,继续跟牙槽骨保持 2 毫米的距离。
反之,如果牙龈位置过高,即使切掉牙龈,很快还是会长回最初的位置,只有把牙龈下方的牙槽骨也去掉一部分,才能让牙龈的位置真正退下去。
因此,牙龈萎缩只是表面现象,根本原因是牙周组织存在长期的损伤、刺激等,导致牙龈退下去。
那么,哪些因素会导致牙龈萎缩呢?常见原因如下:
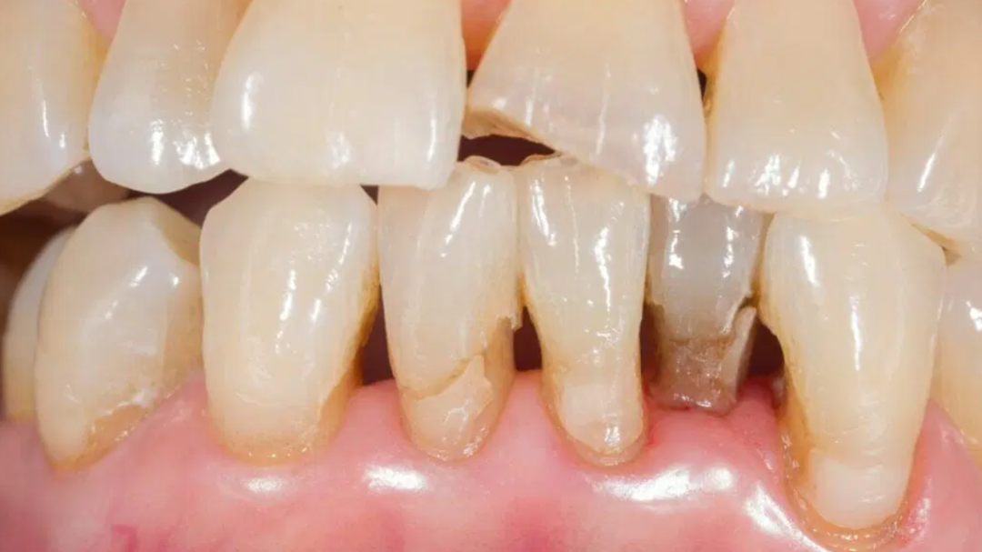
1、牙周炎
牙周炎是牙龈萎缩最常见的原因之一。牙周炎引起的炎症会导致牙龈、牙周膜、牙槽骨的破坏,从而引起牙龈萎缩。
牙缝里那块肉悄悄没了,为啥再也长不回来?可能和你每天做的事有关
2、龋齿或不良修复体
牙缝部位的龋齿、不良充填体等会导致牙齿边缘粗糙,菌斑聚集,从而对牙龈造成慢性刺激,引起牙龈萎缩。
牙缝里那块肉悄悄没了,为啥再也长不回来?可能和你每天做的事有关
3、食物嵌塞
牙缝长期食物嵌塞也会导致牙龈受到压迫,逐渐萎缩。
牙缝里那块肉悄悄没了,为啥再也长不回来?可能和你每天做的事有关
4、咬合创伤
咬合异常会导致牙齿受力异常,从而造成牙周组织的慢性损伤,造成牙龈萎缩。
5、长期缺牙
牙根能够防止牙槽骨丧失,就像树根能防止水土流失。长期缺牙也会影响牙槽骨的骨量,牙龈随之萎缩。
6、系统疾病
某些系统疾病如高血压、糖尿病等可能通过影响牙周组织健康导致牙龈萎缩。
已经萎缩的牙龈怎么办?
1、控制菌斑
菌斑是牙周病的始动因子,即使去除之后还会在牙面重新形成,因此控制菌斑是治疗和预防牙周疾病的必须措施。
每天早晚采用巴氏刷牙法刷牙,每天使用牙线或者牙缝刷清洁牙缝,可以有效控制牙菌斑的形成。
牙缝里那块肉悄悄没了,为啥再也长不回来?可能和你每天做的事有关
2、定期洁牙
对于轻度的牙周炎症,可以通过改善口腔卫生习惯、定期洁牙来进行改善,炎症消退后牙龈和牙周组织可以恢复健康。
3、龋齿治疗
龋齿会导致局部菌斑的大量聚集,治疗龋齿恢复牙齿的外型边缘后,牙龈会顺着新的牙齿轮廓生长,从而恢复正常的形态。
4、修复缺牙
通过修复缺牙使咬合力能够分散到各个牙齿,减轻牙周组织的负荷。
牙缝里那块肉悄悄没了,为啥再也长不回来?可能和你每天做的事有关
5、调整咬合
消除咬合创伤,使咬合力分布均衡,有利于牙周组织的修复以及症状和功能的改善。
6、正畸治疗
让移位或异位的牙齿复位,从而调整咬合力的方向,促进牙周组织的修复和愈合。
7、牙周手术
对于比较严重的牙周炎造成的牙龈萎缩,单纯的基础治疗不能解决全部问题,需要通过手术的方法对牙周软、硬组织进行处理。
牙缝里那块肉悄悄没了,为啥再也长不回来?可能和你每天做的事有关
总结
牙龈萎缩是炎症和外力为主要因素导致的牙周组织疾病,如果你发现自己牙龈萎缩也不用紧张,及时就诊找到原因再进行针对性治疗,就可以保持牙龈的健康!
参考文献
[1]《牙周病学》第3版,人民卫生出版社
[2]《口腔颌面外科学》第6版,人民卫生出版社
策划制作
来源丨卓正科普Health Express(id

-HealthExpress)
作者丨吴垠 武汉大学口腔医学院硕士 卓正医疗齿科医生
审核丨吴斌 首都医科大学附属北京胸科医院口腔科副主任医师 中国整形美容协会牙颌颜面医疗美容分会常务理事
责编丨王梦如
审校丨徐来、张林林